牙齿受损
牙齿在生活中意外受损缺失,不仅影响个人形象,更会导致牙齿敏感酸痛,影响饮食


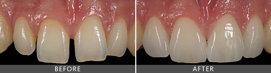
牙缝过大
不仅食物塞牙,容易残留食物残渣,造成口腔卫生威胁,而且还严重影响美观
牙齿畸形
因牙齿难看,变得自卑,成年后牙齿畸形不能自行消除,只能通过牙齿矫正治疗才能达到正常牙列


色素牙
因饮食、烟茶咖啡等附着于牙齿表面呈黄或黑色,有的也是由于吃过多的四环素药物造成四环素牙呈灰、黄或棕色等














